снимка от открити източници
Момиче от китайската провинция Шандонг доживяваше до 24 години, не знаейки, че от раждането й липсва значителна част от мозъка, и това е мозъчният мозък.
Подобно откритие е направено само при посещението му лекарите се оплакват от гадене и виене на свят. Тя разказа лекари, които имат проблеми с живота ходене. Майка й съобщи, че дъщеря й може да отиде само на седем години, а разговорите започнаха на шестгодишна възраст.
Нормална мозъчна томография, мозъчен мозък в червено
снимка от открити източници
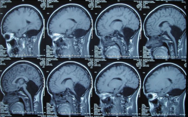
След томография лекарите веднага идентифицират източника на проблема – неговия малкия мозък отсъстваше. Пространството, където трябва да е празно. това мозъчната област се напълни с цереброспинална течност, осигурява защита срещу болестта. Мозъкът отнема около 10 процента от общ обем на мозъка, но съдържа 50 процента от невроните.
Образ на мозъка на китайка без мозъчен мозък
снимка от открити източници
Жена се присъединява към “елитен” клуб от девет души, които са живели без тази власт. Въпреки това подробно описание на това няма заболяване, тъй като всички хора са умрели в млада възраст и проблемът е открит само при аутопсия.
Проблемите с церебелар може да доведат до тежки психични изостаналост, нарушения в движението, епилепсия или потенциално смъртоносно натрупване на течност в мозъка. Въпреки това, в при тази жена липсата на мозъчен мозък води само до лек дефицит движения и умерени проблеми с речта, като леко размазани произношение.
Лекарите описват тези ефекти като „по-малко, отколкото биха могли да бъдат очаквайте “, а те казват, че нейният случай подчертава невероятното пластичност на мозъка.
живот
