снимка от открити източници
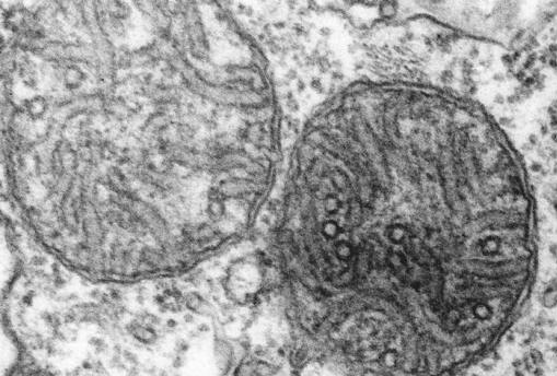
Изучаване на процеса на стареене на живите организми и методи управлението му е едно от основните направления на модерното медицински изследвания. В крайна сметка отговорите се крият в тази област към важни въпроси като намаляване на заболеваемостта и увеличаване човешката продължителност на живота. Изглежда, че все още учените успя да отиде една крачка по-близо до решаването на това невероятно трудна задача. Съвместен проект на университета в Южен Уелс (UNSW) в Сидни и Харвардското медицинско училище вече са доказали това обратният процес на стареене е възможен в организма на лабораторни мишки. Учените се надяват да започнат клинични изпитвания на тяхната методология за хора вече през 2014г. Изглежда, че бъдещето на медицината вече не е за планини. Учените са успели да обърнат процеса на стареене на мишки чрез възстановяване на връзките между митохондриите и клетъчните ядрото. Митохондриите са вид акумулаторна клетка, която е източникът на химическа енергия, необходима за ключ биологични функции. Кога е връзката между митохондриите и ядрото клетките се нарушават, процесът на стареене се ускорява. изследване екип, ръководен от Дейвид Синклер, професор в UNSW, установи, че възстановяването на тази важна вътреклетъчна връзка, процесът стареенето може не само да се забави, но и да се обърне. това техниката ще позволи лечение на рак, диабет на втория тип, мускулна атрофия, възпалителна, както и митохондриална заболявания, които включват синдром на хронична умора, чернодробна недостатъчност, много синдроми поради мутация на гени и т.н. Този научен пробив беше предшестван предишно проучване на този екип, по време на което констатира, че редовно упражнение и сигурно диети, например, ядене на храни, съдържащи вещество ресвератрол (намира се в червено вино и ядки), позволете забавят разпадането на вътреклетъчните връзки и в резултат на това намаляват скоростта на стареене на тялото.
Снимка от отворени източници Възстановяване на вътреклетъчната комуникация твърд коензим помага никотинамид аденинов динуклеотид (NAD) присъства във всички живи клетки. Увеличаване на концентрацията на този коензим вътре в клетката чрез въвеждането на специално производство на NAD връзки, можете да постигнете значително ускорение за възстановяване жизненоважни връзки между ядрото и митохондриите. „За нас беше така истински шок, когато видяхме колко бързо всичко става се случва, – лекар и съавтор на проекта споделя с репортери Найджъл Търнър – Ако увеличите нивото на NAD при възрастен мишки, след това след седмица мускулите й ще бъдат напълно неразличими от мускули на по-млади и по-силни роднини. “В резултат на това, учените са научили многобройни експерименти за една седмица подмладяват лабораторни мишки на възраст две години до шест месеца. С други думи, благодарение на това откритие, всякакви 60-годишен човек може да се подмлади към състоянието на 20-годишен. Процесът, разбира се, все още не е идеален и все още не е напълно проучен, но резултатите, които са постигнати с използване на конвенционални мишки като пример доста впечатляващо. Учените също се опитаха да кандидатстват техника във връзка със здрави и млади мишки. Оказа се, че “млади” под влияние на NAD са станали изключително енергични и невероятно активен. Възможно е техниката да го направи важи не само за стари и болни хора, но подходящ и за тези, чийто живот е тясно свързан с труден физически труд. „Най-важното ни откритие беше фактът, че HIF-1 елемент, отговорен за развитието на много форми рак, също започва да се развива в тялото по време на стареене “, казва един от учените. – Сега знаем със сигурност, че физиологията на рака в известен смисъл подобна на физиологията на стареенето. Това обяснява, че един от най-големите рискови фактори за рак Възрастта е. “В момента изследователите внимателно наблюдават за експериментални мишки, които са преминали през процес на подмладяване. В крайна сметка е много важно техниката да не дава неуспехи и не показа сериозни странични ефекти. Ако с мишки всичко ще е вътре ред, учените планират да започнат клинични изпитвания на хората вече в края на 2014г. Въз основа на gizmag.com
живот
