снимка от открити източници
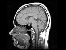
Новосибирските учени са разработили лекарство, което прави човешкият мозък да произвежда стволови клетки, необходими за възстановяване на болни органи. „Лекарството се отнася до регенеративно и няма аналози в света. Започваме тази година клинични изпитвания, предклинични изпитвания, които сме завършили, “- каза председателят на съвета и съсобственик на дружеството, разработил лекарството, Андрей Артамонов. Според него лекарството кара мозъка на възрастните да произвежда нов стволови клетки, които по-късно откриват увреден орган и възстанови го. „При децата мозъкът активно произвежда ствол клетки, защото бебето расте. И мозъкът на възрастен способен да ги произвежда, само той не иска да го прави – на него няма нужда. Нашето лекарство стимулира производството на собствено стъбло клетки “, обясни Артамонов. Според него всички операции с стволови клетки сега се произвеждат извън човешкото тяло, които носи определен риск, свързан с факта, че модифицирана, изкуствено размножена клетка може да започне взаимодействат на неочаквано място. Клетките могат да бъдат въведени, но това винаги е риск, защото не е много ясно къде се намират диференцирани. Въпреки че са ваши, те се разпространяват извън вашия тяло. Собствените стволови клетки не могат да се провалят там диференцират. Намират повреден орган и започват това възстановете тялото “, добави Артамонов. Клинични изпитвания наркотикът ще продължи година и половина, съобщава Интерфакс.
