Сред многото сериозни симптоми на COVID-19 странните неврологични ефекти, които много пациенти изпитват, се считат за най-неизследваните.
Внезапната загуба на миризма и вкус е един от първите необичайни симптоми, съобщени от пациенти с COVID-19, но са документирани случаи на инсулт, гърчове и мозъчен оток (наречен енцефалит).
Някои пациенти с COVID-19 също изпитват объркване, делириум, световъртеж и затруднена концентрация, според доклади и изследвания.
В продължение на няколко месеца лекарите неуморно се опитват да разберат това заболяване и многобройните му прояви, които засягат мозъка.
За да обобщим някои от бързо натрупващите се данни, двама невролози прегледаха проучвания, изследващи как COVID-19 нарушава модели на нормална мозъчна функция, които могат да бъдат измерени с ЕЕГ.
ЕЕГ, съкратено от електроенцефалограма, записва електрическата активност в различни части на мозъка на човек, обикновено използвайки електроди, поставени върху скалпа.
В своя преглед изследователите събраха данни за близо 620 пациенти, заразени с COVID, от 84 проучвания, публикувани в рецензирани списания и на сървъри за предпечат, където данните за ЕЕГ на вълната са на разположение за анализ.
Анализът на резултатите от ЕЕГ може да посочи някаква форма на енцефалопатия, свързана с COVID, при тези пациенти – признаци на влошаване или увреждане на мозъчната функция.
Около две трети от пациентите в проучванията са мъже, а средната възраст е 61 години.
Сред 420 пациенти, при които е записана основата за ЕЕГ, най-честата причина е промяна в психичното състояние: около две трети от изследваните пациенти са имали делириум, кома или объркване.
Около 30% от пациентите са имали припадък, подобен на припадък, който е накарал лекаря им да поръча ЕЕГ, докато няколко пациенти са имали проблеми с говора. Други са имали внезапно спиране на сърцето, което може да попречи на притока на кръв към мозъка.
ЕЕГ сканирането на пациентите показва спектър от аномалии в мозъчната дейност, включително някои ритмични модели и епилептични изблици на активност. Най-честата забелязана аномалия е дифузно забавяне, т.е. общо забавяне на мозъчните вълни, което е показателно за обща дисфункция на мозъчната дейност.
В случай на COVID, това разстройство може да бъде резултат от широко разпространено възпаление, тъй като тялото засилва имунния си отговор или евентуално намален приток на кръв към мозъка, ако сърцето и белите дробове са слаби.
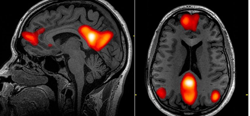
По отношение на локализираните ефекти, една трета от всички открити аномалии са открити във фронталния лоб, частта от мозъка, която изпълнява задачи на изпълнително мислене като разсъждения и вземане на решения. Фронталният лоб също ни помага да регулираме емоциите си, да контролираме поведението си и участва в ученето и вниманието.
„Тези данни ни казват, че трябва да опитаме ЕЕГ при по-широк кръг пациенти, както и други видове изображения на мозъка, като ЯМР или КТ, които ще ни позволят да разгледаме по-отблизо фронталния лоб“, каза неврологът и съавтор на изследването Зулфи Ханиф. от Медицинския колеж Baylor в Хюстън.
С течение на времето ЕЕГ може да помогне за потвърждаване на диагнозата COVID-19 или намек за възможни усложнения. Това може да помогне на лекарите да проследят дългосрочните усложнения на COVID-19 и да открият всякакви дългосрочни ефекти върху мозъчната функция на пациента.
За съжаление, понастоящем резултатите не дават никаква индикация за това колко редки или чести са тези нарушения на мозъчните вълни в по-широката популация, тъй като в анализа са включени само пациенти с COVID-19, които са имали ЕЕГ тест.
Но добавя все повече доказателства, че новият коронавирус може сериозно да повлияе на нашето неврологично здраве.
„Необходими са повече изследвания, но тези резултати ни показват, че това са областите, върху които трябва да се съсредоточим, докато вървим напред“, каза Ханиф.
“ЕЕГ аномалиите, засягащи фронталния лоб, изглежда са често срещани при енцефалопатията на COVID-19 и са предложени като потенциален биомаркер с текуща регистрация”, пишат авторите в своя доклад.
Изследването е публикувано в Seizure: European Journal of Epilepsy.
